最新訊息
 
牙科解決方案
 

Greenlight AI(牙科)

簡介

利用影像處理技術和深度學習算法技術,結合人工智慧功能的數位牙科解決方案就在這。

透過人工智慧化的牙齒診斷和診療計劃,可以有效地進行診療,能夠節省時間和費用,請在矯正前先確認"Before和After"的模樣吧!

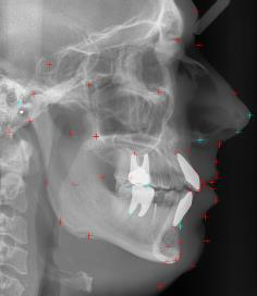
自動Ceph分析軟體

   

3D矯正軟體

  • 以人工智慧為基礎的牙齒分離&分析技術
  • 一般牙科醫生也能簡單樹立矯正計劃
  • 可與其他設備互換牙齒模型CAD
  •          
    Auto tooth separation   Auto tooth axis   Auto simulator for tooh alignment
             
    Before After

     

    Adaptive Vision Studion
     
    特別聲明:本網站為汎叡有限公司版權所有,請尊重智慧財產權,未經允許請勿任意轉載、複製或做商業用途
    所使用的所有商標名稱, 分屬各商標註冊公司所有。
    Copyright c 2009 Fadracer Technology Inc. All Rights Reserved.
    汎叡有限公司 TEL:+886-2-2585-8592 FAX:+886-2-2598-8802 E-MAIL:sales.tp@fadracer.com