|
FLI 線性相機是專門設計用於數字放射成像應用。
The ProLine PL09000LDR and ProLine PL16803LDR systems feature small back-focus requirements, FLI’s proprietary anti-ghosting technology, excellent linearity, fast download speeds, precision regulated cooling and expertly matched sensor electronics result in the highest quality, low-noise images available.
典型的性能和特性包括:
- Typical performance and features include:
- Fast download speed, 8 MHz (user selectable)
- Excellent linearity and charge transfer efficiency (CTE)
- Stable, precise regulated cooling
- Low-noise 16-bit operation at all down load speeds
- RBI Anti-Ghosting Technology standard
- Guaranteed sensor accuracy (orthogonal & x,y location)
- PL16803LDR : 9 micron, 16MP sensor, readout noise as low as 8 e- rms (@ 1 MHz)
- PL09000LDR: 12 micron, 9 MP sensor, readout noise as low as 8 e- rms (@ 1 MHz)
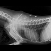
Sample Images
| Veterinary Images (MicroLine ML09000) |
 |
 |
 |
 |
 |
| Medical Images (ProLine PL16803LDR) |
 |
 |
 |
 |
 |
|